Case 2 Full mouth all ceramic crowns

Extra oral view before the treatment
Intra oral view before the treatment showing old bridge work
Extra oral view , full mouth rehabilitation
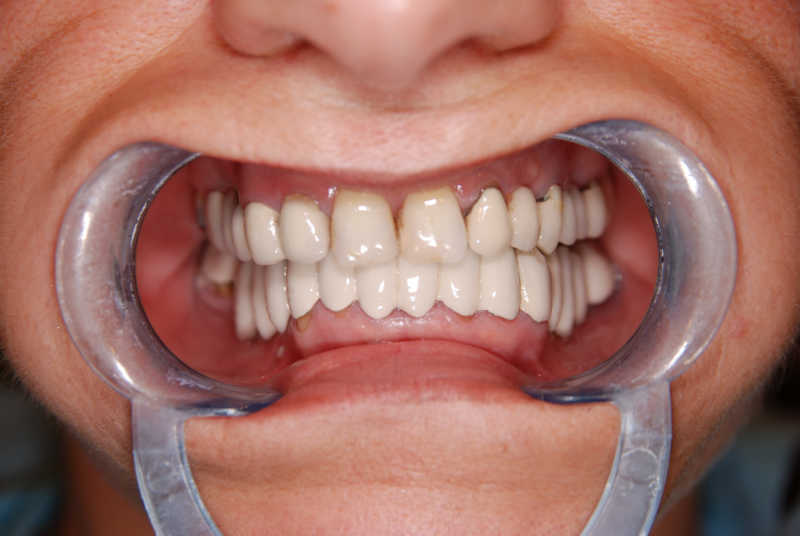
Inta oral view, full mouth rehabilitation

Where to Find Us

Learn More
ta’ xbiex
image

1, Giuseppe Cali Street Ta' Xbiex, XBX 1421

Valletta
image

26/1 Merchants Street Valletta, VLT 1173

Mellieħa
image

A1 Towns End, Triq il-Fortizza, Mellieħa