DENTAL FIXED BRIDGES

Patient 1 Full mouth reconstruction - Gallery

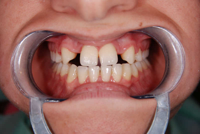
1.1 Frontal view beofre treatment
1.2 Before treatment
1.3 Wax-up models of new teeth
1.4 Porcelain crowns ready for final adjustments
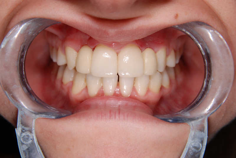
1.5 View of upper restored arch
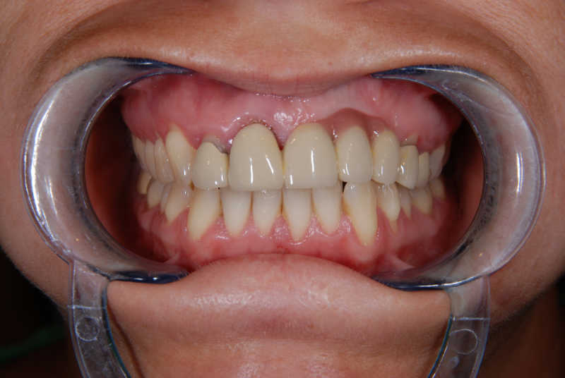
1.6 View of lower restored arch
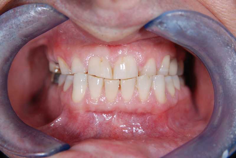
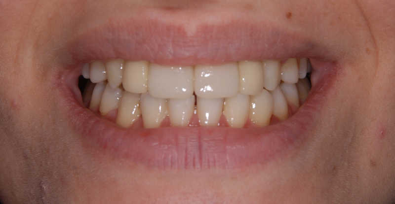
1.7 Frontal view

Patient 2 Conversion of old metal ceramic bridge work to all ceramic bridges - Gallery

Extra oral view before treatment
Intra oral view before treatment
Extra oral view after placing bridges

Patient 3 Two veneers, two resin bonded bridges - Gallery

Genetically missing lateral incisors, extra oral view
Geneticalli missing lateral incisors, intra oral view
Intra oral view after cementation of two veneers and two resin bonded bridges
Extra oral view on completion of dental treatment

Patient 4 Ten all ceramic crowns-bridges, 5 porcelain veneers and simultaneous tooth whitening - Gallery

Extra oral view before treatment
Intra oral view after the treatment
Extra oral view after the treatment

Where to Find Us

Learn More
ta’ xbiex
image

1, Giuseppe Cali Street Ta' Xbiex, XBX 1421

Valletta
image

26/1 Merchants Street Valletta, VLT 1173

Mellieħa
image

A1 Towns End, Triq il-Fortizza, Mellieħa