Patient 6 All-on-8 Maxilla

Pic 1 frotal view pre-treatment
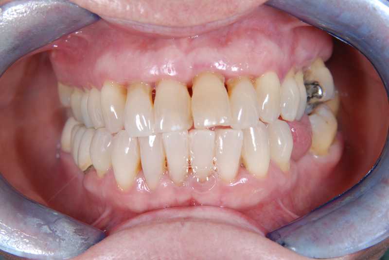
Pic 2 Intra-oral vew of upper teeth with periodontal disease
Pic 3 Aerial view of Maxilla 2months post-extraction
Pic 4 Custom-made surgical guide
Pic 5 Construction of Acrylic resin provisional bridge on 6 of the 8 implants inserted
Pic 6 Provisional bridge in situ
Pic 7 Final Porcelain crowns on cobalt-chromium substructure
Pic 8 Definitive bridge in-situ

Where to Find Us

Learn More
ta’ xbiex
image

1, Giuseppe Cali Street Ta' Xbiex, XBX 1421

Valletta
image

26/1 Merchants Street Valletta, VLT 1173

Mellieħa
image

A1 Towns End, Triq il-Fortizza, Mellieħa