Single all porcelain crown

Extraoral view before treatment
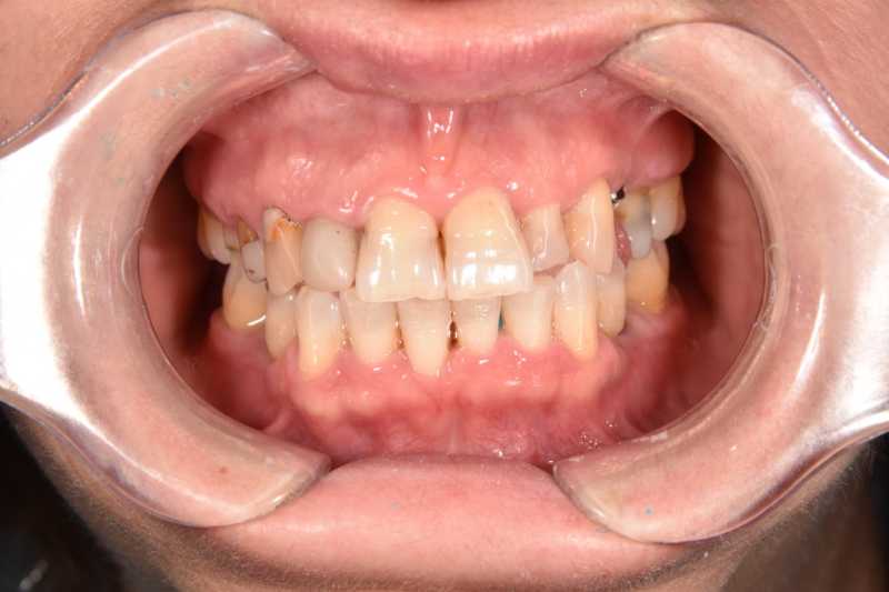
Intra oral view before treatment
Extraoral view after treatment
Intraoral view after treatment

Where to Find Us

Learn More
ta’ xbiex
image

1, Giuseppe Cali Street Ta' Xbiex, XBX 1421

Valletta
image

26/1 Merchants Street Valletta, VLT 1173

Mellieħa
image

A1 Towns End, Triq il-Fortizza, Mellieħa