Home
About
The Team
Services
All Services
Cosmetic Dentistry
Conscious Sedation & General Anaesthesia
Implant Surgery
Oral and Maxillofacial Surgery
Orthodontics / Braces & Aligner Therapy
Paediatric Dentistry
Periodontal/Gum Treatment
Preventive Dentistry
Prosthetic Dentistry
Restorative Dentistry
Safe Removal of Amalgam Fillings
Endodontics / Root Canal Treatment
Cost Of Treatments
Dental Tourism
News + Articles
Video Gallery
Case Studies
FAQs
Careers
Contact
facebook
linkedin
instagram
CASE STUDIES
Case 6 > Orthodontic case > Before and after treatment - Gallery
Orthodontic case > Before and after treatment - Gallery
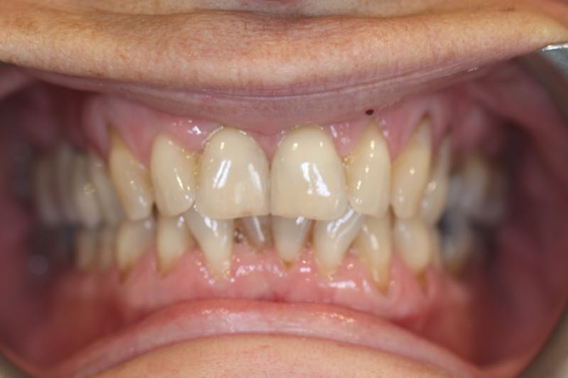
Intraoral view before treatment
Intraoral view after treatment
Back to Case Studies
Related Case Studies
View All Case Studies
Case 5 > Orthodontic case: Upper aligner, lower fixed braces – Gallery
Read More
Case 3 > Orthodontic fixed braces with upper premolar extractions – Gallery
Read More
Case 4 > Orthodontic fixed braces – Gallery
Read More
View All Case Studies
Where to Find Us
Learn More
ta’ xbiex
1, Giuseppe Cali Street Ta' Xbiex, XBX 1421
Call
Directions
Valletta
26/1 Merchants Street Valletta, VLT 1173
Call
Directions
Mellieħa
A1 Towns End, Triq il-Fortizza, Mellieħa
Call
Directions
Learn More