Lower 4-tooth implant bridge (Patient 3)

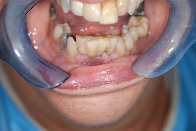
Intra-oral view (Pre-treatment)
Intra-oral view post-implant insertion
Metal-Porcelain implant bridge on model
Metal-Porcelain implant bridge
Implant-bridge in-situ
Implant bridge in-situ (Post-treatment)

Where to Find Us

Learn More
ta’ xbiex
image

1, Giuseppe Cali Street Ta' Xbiex, XBX 1421

Valletta
image

26/1 Merchants Street Valletta, VLT 1173

Mellieħa
image

A1 Towns End, Triq il-Fortizza, Mellieħa