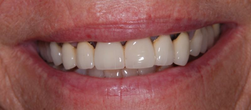
The replacement of failed tooth supported bridge with an implant supported bridge (Patient 5)

Extra oral view before treatment
Intra oral view before treatment
Extra oral view after treatment
Intra oral view after treatment

Where to Find Us

Learn More
ta’ xbiex
image

1, Giuseppe Cali Street Ta' Xbiex, XBX 1421

Valletta
image

26/1 Merchants Street Valletta, VLT 1173

Mellieħa
image

A1 Towns End, Triq il-Fortizza, Mellieħa