PARTIAL IMPLANT BRIDGES

Patient 1 Upper 4-tooth implant bridge - Gallery

Pic 2 Custom-made surgical guide
Pic 3 Implants in-situ
Pic 4 Metal-Porcelain Implant bridge on model
Pic 5 Implant bridge in-situ.
Pic 6 Frontal view with new bridge in place

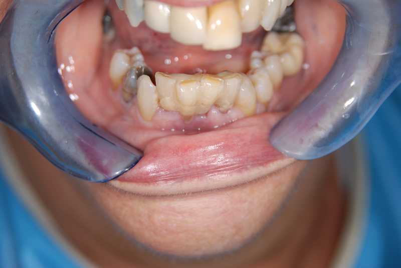
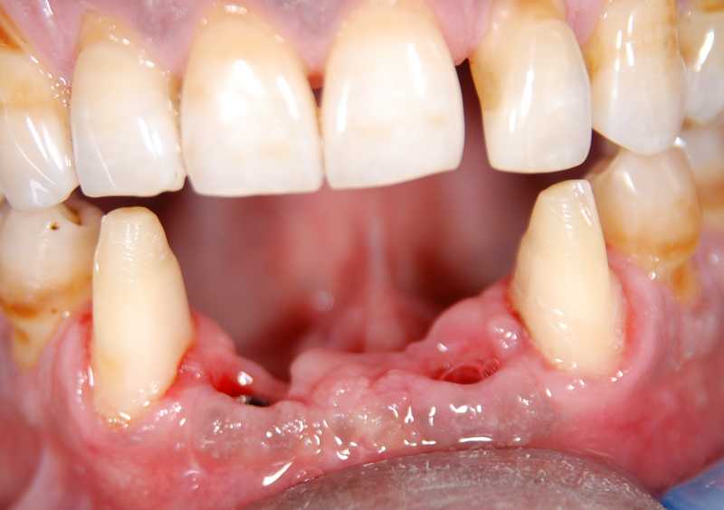
Patient 2 Lower 4-tooth implant bridge - Gallery

Pic 1 Intra-oral view post-implant insertion (pre-treatment)
Pic 2 Intra-oral view
Pic 3 Intra-oral view of Metal-porcelain implant bridge in-situ
Pic 4 Close-up of Implant Bridge
Pic 5 Frontal View of implant-bridge in-situ (post-treatment)

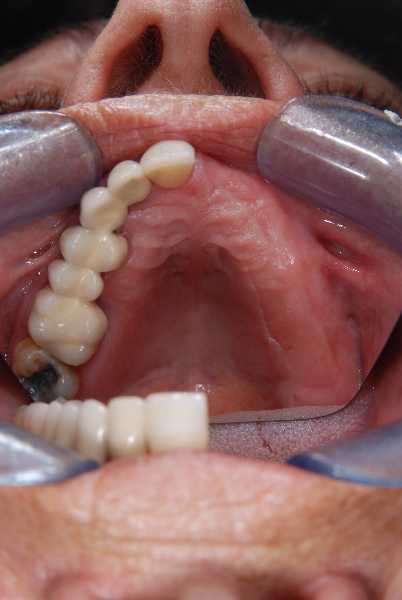
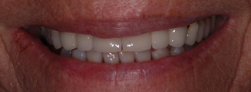
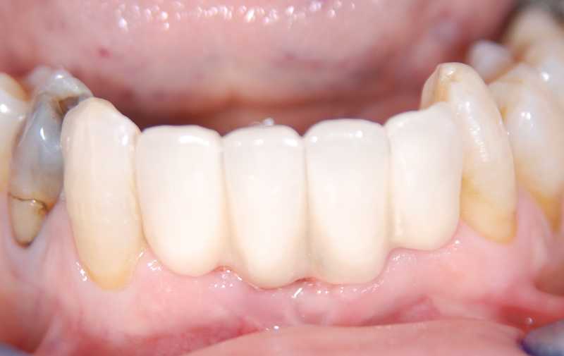
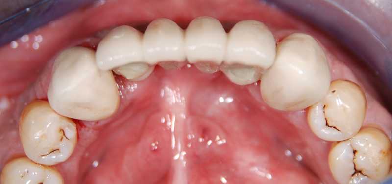
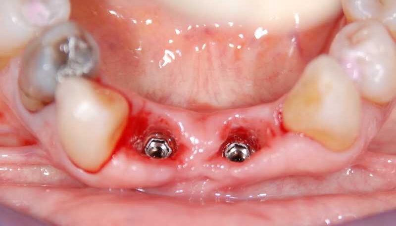
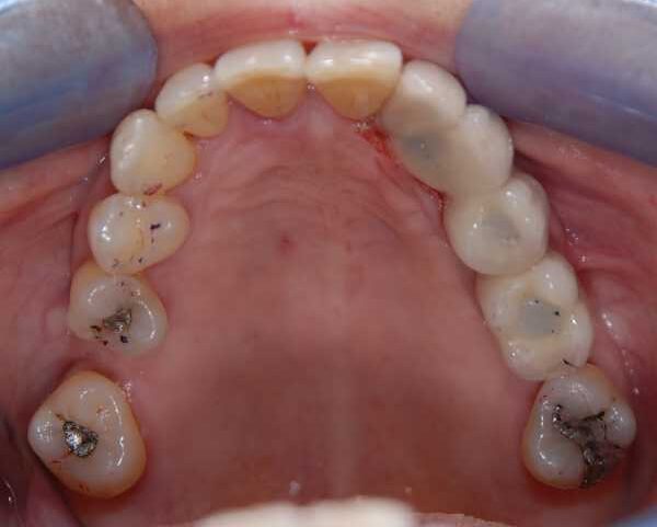
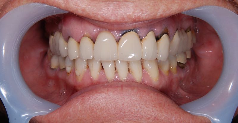
Patient 3 Lower 4-tooth implant bridge - Gallery

Pic 1 Intra-oral view (Pre-treatment)
Pic 2 Intra-oral view post-implant insertion
Pic 3 Metal-Porcelain implant bridge on model
Pic 4 Metal-Porcelain implant bridge
Pic 5 Implant-bridge in-situ
Pic 6 Implant bridge in-situ (Post-treatment)

Patient 4 Upper 7-tooth implant bridge - Gallery

Pic 1 Aerial view prior to implant insertion
Pic 2 Surgical guide used to place implants
Pic 3 View of implants 4months post-implant insertion
Pic 4 Construction of metal framework
Pic 5 Final porclelain fixed bridge
Pic 6 Porcelain bridge in place
Pic 7 Frontal view of bridge in-situ

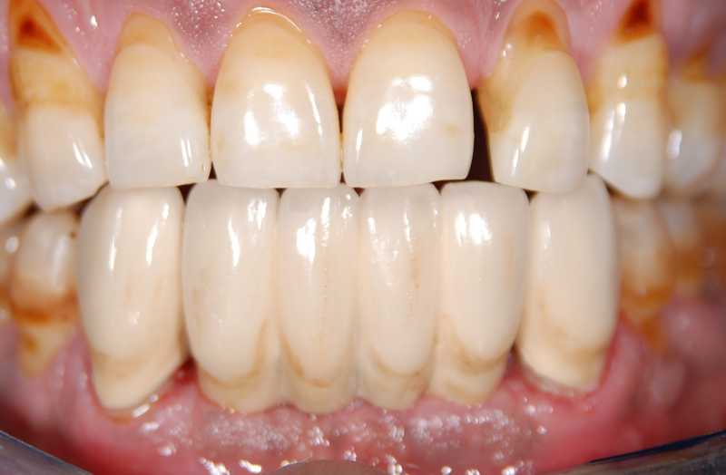
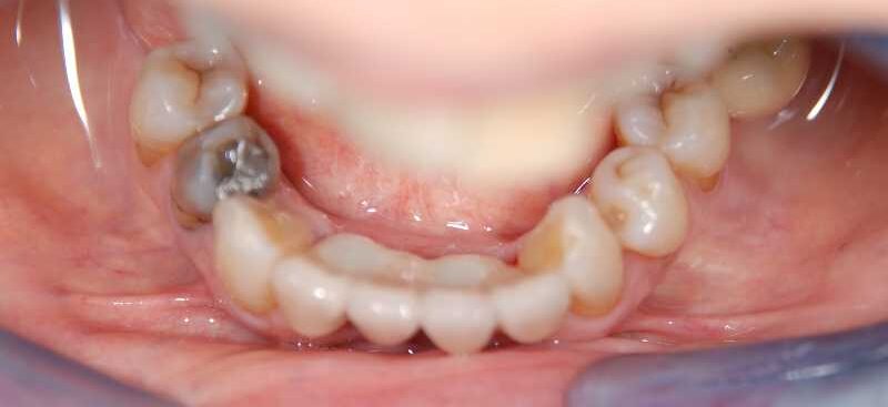
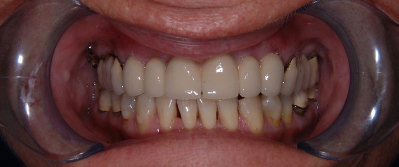
The replacement of failed tooth supported bridge with an implant supported bridge - April 2017 - Gallery

Extra oral view before treatment
Intra oral view before treatment
Extra oral view after treatment
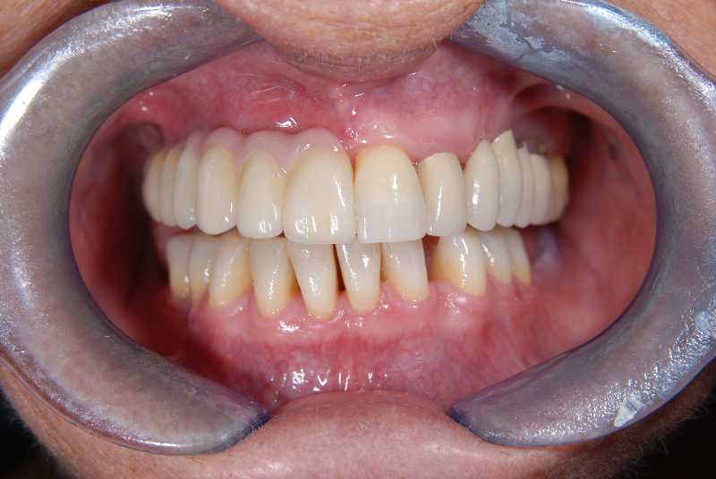
Intra oral view after treatment

Where to Find Us

Learn More
ta’ xbiex
image

1, Giuseppe Cali Street Ta' Xbiex, XBX 1421

Valletta
image

26/1 Merchants Street Valletta, VLT 1173

Mellieħa
image

A1 Towns End, Triq il-Fortizza, Mellieħa