Patient 8 Trauma loss of central incisor

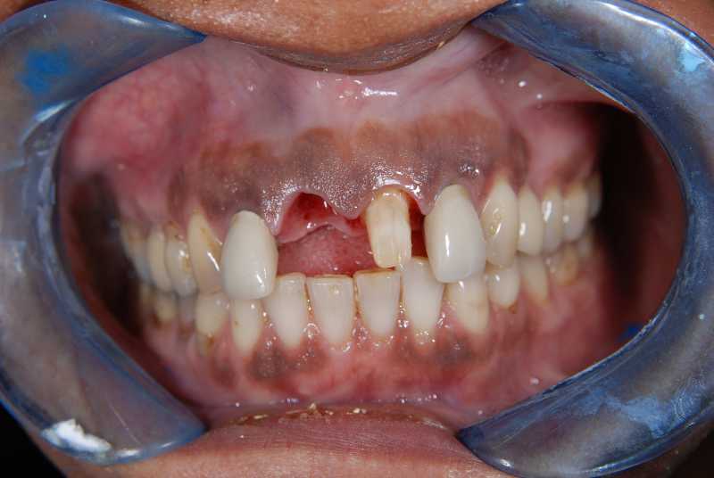
Pic 1 Frontal view of right central prior to extraction
Pic 2 Frontal view post-extraction
Pic 3 Provisional bridge of two central incisors
Pic 4 Provisional bridge splinting newly placed immediate implant and simultaneous bone grafting with adjacent central incisor
Pic 5 Intra-oral view of implkant in place and adjacent tooth preperation for single porcelain crown
Pic 6 Final porcelain crowns in place

Where to Find Us

Learn More
ta’ xbiex
image

1, Giuseppe Cali Street Ta' Xbiex, XBX 1421

Valletta
image

26/1 Merchants Street Valletta, VLT 1173

Mellieħa
image

A1 Towns End, Triq il-Fortizza, Mellieħa