VENEERS

Patient 1 Composite Veneers and Laser Tooth Whitening - Gallery

Pic 1 Intra-oral view (Pre-treatment)
Pic 2 8-Anterior composite veneers
Pic 3 Intra-oral view of veneers in-situ (Post-treatment)

Patient 2 Porcelain Veneers with Laser Tooth Whitening - Gallery

Pic 1 Intra-oral view prior to laser-tooth whitening (Pre-treatment)
Pic 2 Intra-oral view of prepared teeth
Pic 3 Porcelain veneers on model
Pic 4 Porcelain veneers in-situ and Zoom laser tooth whitening
Pic 5 Intra-oral view
Pic 6 Frontal view (Post-treatment)

Patient 3 Porcelain Veneers on all four incisors - Gallery

Pic 1 Pre-Treatment
Pic 2 Tooth preperation
Pic 3 Post-Treatment

Patient 4 Placing of anterior porcelain veneer - Gallery

Pre-operative image, extra oral view before the treatment, anterior veneer patient
Post-operative image after placing anterior porcelain veneer , extra oral view
Intra oral view after the treatment

Patient 5 Tooth straightening with veneers - Gallery

Extra oral view before placing anterior veneers
Intra oral view before treatment
Extra oral view after the treatment

Patient 1 Dental diastemas - Gallery

Extra oral view before treatment
Extra oral view after treatment
Dsd, mock up, veneers

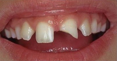
Patient 2 Dental fractures - Gallery

Extra oral view before the treatment
Extra oral view after the treatment

Patient 3 Tooth colour - Gallery

Extra oral view before the treatment
Extra oral view after the treatment

Patient 4 Re-shape teeth and and straighten teeth - Gallery

1 extra oral view before the treatment
2 Intra oral view before the treatment
3 Intra oral view before the treatment
4 Intra oral view after the treatment
5 Intra oral view before the treatment
6 Extra oral view after the treatment

Patient 5 Change Poor Looking Fillings - Gallery

Extra oral view before the treatment
Extra oral view after the treatment

Patient 6 Misaligned teeth - Gallery

Extra oral view before the treatment
Extra oral view after the treatment

Patient 7 Dental agenesis camouflage - Gallery

Extra oral view before the treatment
Extra oral view after the treatment

Smile Design - February 2015 - Gallery

Intra oral view before treatment
Intra oral view after treatment
Extra oral view before treatment
Extra oral view after treatment

Porcelan anterior veneers Patient 8 - Gallery

Extraoral view before treatment
Intraoral view before treatment
Extraoral view after treatment
Closer view after the treatment

Where to Find Us

Learn More
ta’ xbiex
image

1, Giuseppe Cali Street Ta' Xbiex, XBX 1421

Valletta
image

26/1 Merchants Street Valletta, VLT 1173

Mellieħa
image

A1 Towns End, Triq il-Fortizza, Mellieħa