Case 3 Full mouth all ceramic crowns - Gallery

Extra oral view before treatment
Intra oral view before treatment
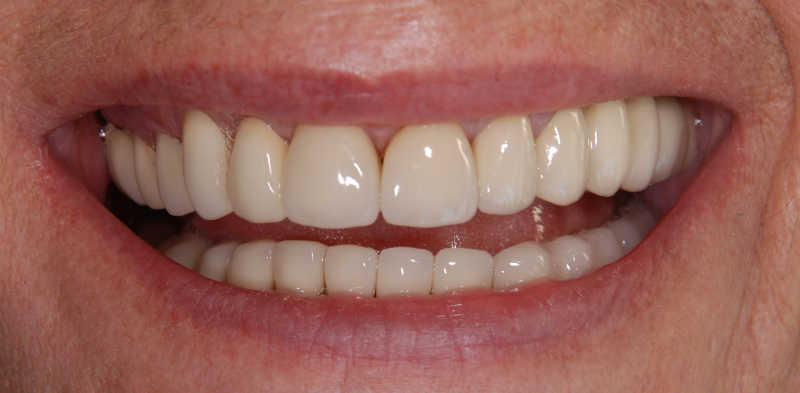
Extra oral view showing all ceramic crowns, full mouth rehabilitation

Where to Find Us

Learn More
ta’ xbiex
image

1, Giuseppe Cali Street Ta' Xbiex, XBX 1421

Valletta
image

26/1 Merchants Street Valletta, VLT 1173

Mellieħa
image

A1 Towns End, Triq il-Fortizza, Mellieħa