Patient 1

Extra oral view pre treatment
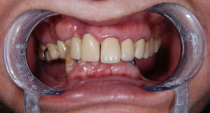
Intra oral view pre treatment
Intra oral view post treatment
Extra oral view post tratment

Where to Find Us

Learn More
ta’ xbiex
image

1, Giuseppe Cali Street Ta' Xbiex, XBX 1421

Valletta
image

26/1 Merchants Street Valletta, VLT 1173

Mellieħa
image

A1 Towns End, Triq il-Fortizza, Mellieħa