Patient 1

pic 1 Lower bridge with special attachments
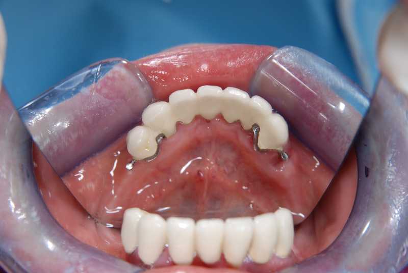
pic 2 Removable prosthesis with cast porcelain teeth
pic 3 Removable prosthesis attachd to fixed bridge
pic4 Frontal view of finished product

Where to Find Us

Learn More
ta’ xbiex
image

1, Giuseppe Cali Street Ta' Xbiex, XBX 1421

Valletta
image

26/1 Merchants Street Valletta, VLT 1173

Mellieħa
image

A1 Towns End, Triq il-Fortizza, Mellieħa