This lovely lady was referred to our clinic for complex treatment.

At 41 years of age, she still had retained teeth (teeth that remain in the mouth instead of being naturally shed or replaced by permanent teeth), multiple missing permanent teeth, malformed front incisors, and a crossbite. She was very unhappy with the appearance of her teeth and her bite.

This case was treated jointly between our Orthodontist Dr Audrey Pace, our Periodontal Specialist Dr Georgios Dimakis, our Aesthetic Dentist Dr Giedre Laudekaite and our Implant Surgeon Dr Jean Paul Demajo. After 3 years of joint teamwork, this patient is finally smiling beautifully with all the confidence she deserves!

Extra Oral View Before Treatment
Extra Oral View Before Treatment
Extra Oral View Before Treatment
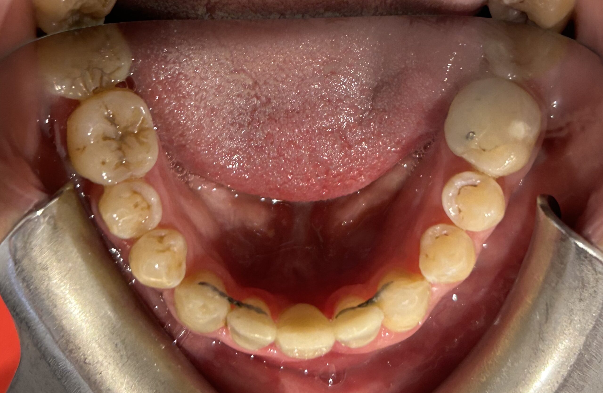
Intra Oral View Before Treatment
Intra Oral View Before Treatment
Extra Oral View After Treatment

Where to Find Us

Learn More
ta’ xbiex
image

1, Giuseppe Cali Street Ta' Xbiex, XBX 1421

Valletta
image

26/1 Merchants Street Valletta, VLT 1173

Mellieħa
image

A1 Towns End, Triq il-Fortizza, Mellieħa