Patient 1 Bar-Retained Overdenture

Pic 1 Surgical guide used to place 3 mandibular implants
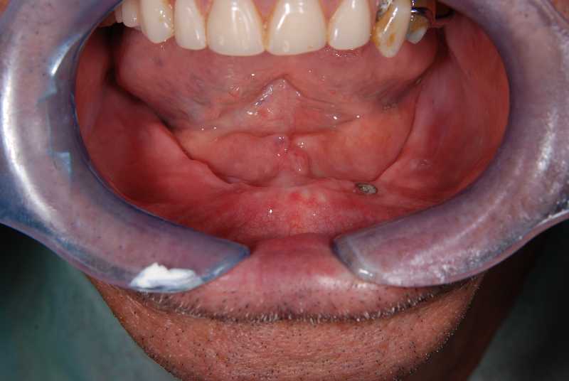
Pic 2 Implants in-situ 1week following placement
Pic 3 Try-in of Metal-bar 4months post-implant insertion
Pic 4 Fabrication of Mandibular Overdenture
Pic 5 Aerial view of mandibular overdenture
Pic 6 Mandibular overdenture in place
Pic 7 Frontal view upon completeion of implant treatment

Where to Find Us

Learn More
ta’ xbiex
image

1, Giuseppe Cali Street Ta' Xbiex, XBX 1421

Valletta
image

26/1 Merchants Street Valletta, VLT 1173

Mellieħa
image

A1 Towns End, Triq il-Fortizza, Mellieħa