Patient 4 Locator Retained Overdenture - Gallery

Biting surface of denture
Denture in-situ
Fitting surface of denture
Frontal view of patient with denture in place
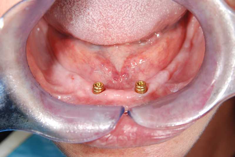
Locators retention clips in place

Where to Find Us

Learn More
ta’ xbiex
image

1, Giuseppe Cali Street Ta' Xbiex, XBX 1421

Valletta
image

26/1 Merchants Street Valletta, VLT 1173

Mellieħa
image

A1 Towns End, Triq il-Fortizza, Mellieħa