Patient 3 Ball-Socket Overdenture - Gallery

Pic 1 Ball and socket retained lower denture
Pic 2 Lower complete denture with sockets for implant retention
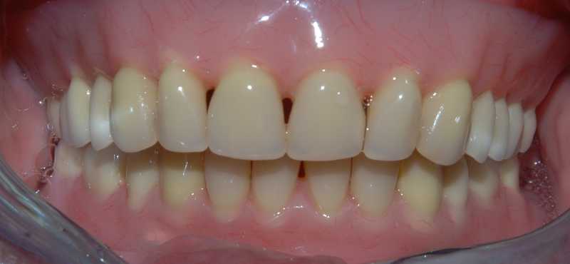
Pic Implant retained denture in-situ

Where to Find Us

Learn More
ta’ xbiex
image

1, Giuseppe Cali Street Ta' Xbiex, XBX 1421

Valletta
image

26/1 Merchants Street Valletta, VLT 1173

Mellieħa
image

A1 Towns End, Triq il-Fortizza, Mellieħa