Patient 5 Over Dentures - Gallery

Intra Oral View (Maxilla) Before Treatment
Intra Oral View (Mandible) Before Treatment
Fitting surfaces of both overdentures showing pink retention clips
Upper jaw with 4 implant-retained locators
Lower jaw with 3 implant-retained locators
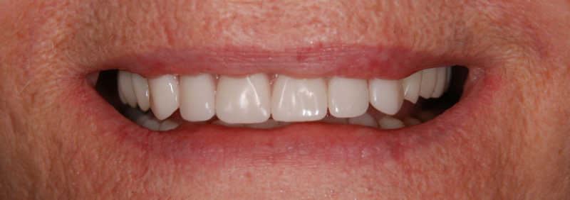
Extra Oral View After Teatmen

Where to Find Us

Learn More
ta’ xbiex
image

1, Giuseppe Cali Street Ta' Xbiex, XBX 1421

Valletta
image

26/1 Merchants Street Valletta, VLT 1173

Mellieħa
image

A1 Towns End, Triq il-Fortizza, Mellieħa